Recesión de encía: Un problema estético con solución
Cuando hablamos de la estética de la sonrisa debemos saber que tener una sonrisa agradable implica no sólo que el diente tenga un aspecto bonito sino que también lo debe tener la encía.
Estas son las alteraciones de las encías que hacen que haya problemas estéticos en el conjunto global de la sonrisa:
-encías altas y bajas (recesiones o retracciones de las encías)
-dientes cortos
-asimetría en los márgenes de la encía
-huecos en las prótesis fijas
-periodontitis o enfermedades de las encías
Existen tratamientos quirúrgicos específicos (microcirugía plástica periodontal) que pueden devolverle una bonita y saludable sonrisa para reír, hablar y comer.
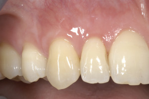
Un motivo muy frecuente en la estética de la sonrisa es consultar por tener las encías más altas en los dientes superiores y más bajas en los dientes inferiores (recesiones o retracciones de encías). Son dientes estéticamente más largos que los adyacentes, que a veces pueden tener sensibilidad al frío y calor, inflamación y molestias o dolor al cepillado y a la masticación.
Causas
-Cepillado inadecuado, ya sea demasiado intenso (produciendo la irritación en la encía) o demasiado suave (produciendo una inflamación de la encía por la acumulación de la placa dental).
-Grosores finos de encía y de hueso.
-Posiciones hacia fuera de la raíz del diente en la arcada dentaria.
-Frenillos.
-Higiene inadecuada con inflamación.
Por tanto vemos que se trata de un problema multifactorial.
Tratamiento de la encía
El tratamiento tiene la finalidad de eliminar la causa o causas de la recesión de encía y cubrirla o detenerla mediante un injerto de encía del paladar (tejido conectivo) o mediante matrices dérmicas acelulares regenerativas o matrices de colágeno (evitando éstas dos últimas técnicas la toma del injerto de encía del paladar).
A veces se presenta y se trata la recesión de la encía en un solo diente y otras veces en múltiples dientes.
Tratamientos realizados en Clínica Alcaraz:
1. Tratamientos básicos periodontales para gingivitis y periodontitis.
2. Tratamientos quirúrgicos para gingivitis y periodontitis (resectivos, regenerativos).
3. Microcirugía plástica estética periodontal:
-Injertos de encía para las recesiones de encía.
-Aumento de cresta ósea y gingival para defectos de reborde alveolar.
-Extracciones dentales con preservación de cresta ósea y gingival.
-Alargamiento de corona para erupción pasiva retardada y preprotésico.
4. Exposiciones quirúrgicas de inclusiones dentarías.
5. Cirugía de implantes: convencional, mínimamente invasiva, transmucosa sin suturas, guiada por ordenador mediante softwares.
6. Tecnología CBCT (tomografía computarizada de haz cónico): escáner dental de última generación (ICAT).
En los casos indicados las cirugías se realizan con sedación y vigilancia anestésica monitorizada por un especialista en Anestesia y Reanimación.
Dr. Jaime Alcaraz Sintes Dr. Jaime Alcaraz Freijo


