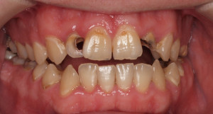
Complex dental cases
Often come to our clinic patients referred by other fellow dentists as a consequence to the complexity of the treatments performed, or after consulting several dental clinics where no solutions are provided to them, due to the difficulty of the status of their sick or damaged mouth.
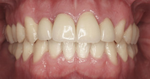
These intractable complex dental cases often result in infectious problems or abnormal anatomy; normally, they are patients with total or partial loss of their teeth, lack of bone and / or gum, or requiring the teamwork of several specialists to get the mouth rehabilitation that all of them obviously want, restoring health, the masticatory function and aesthetics.
The first thing to do is a clinical examination and a correct diagnosis with a 3D scanner, plus a series of tests to detect all the existing problems, ranging from measurements quantifying the lost tissues and how to regenerate them, considering what type of functional rehabilitation would require the patient, the aesthetic views of the mouth and its movements guided by computer simulations; even if crops are necessary, or genetic and microbiological diagnosis, among others, with all the latest technology that is needed to solve these necessary complex dental cases.
It is necessary to evaluate the case in a personalized way, and clarify the overall treatment plan, giving the patient several options, if there is any, that suit his/her expectations and the economic possibilities, custom-made, focusing on quality, with a good prognosis and an excellent long-term outcome. We advise the patient about the details of the process, the correct dental and hygiene habits, and how simple is the maintenance program that will follow.
This type of complex dental cases require a study from the different perspectives from each dental discipline, to join forces and integrate treatments for correct planning, sequencing and execution, thus establishing a work plan with all our medical professional staff and planning a series of appointments, as quickly as possible and with the less discomfort for the patient, in order to solve virtually the 100% of all diseases.
We will decide whether the patient requires the latest cutting edge techniques that comprise the use of a dental microscope, a laser, 3D technology, a computer software design, minimally invasive treatments and guided by computer; the latest trends in materials like titanium, ceramics and zirconium, or the use of biomaterials for the regeneration of lost tissue or the application of plasma factors.
To do this, in our medical-dental centre, we have the largest team, trained and accredited in the most advanced techniques, with the most technological equipment in one of the best facilities in Valencia.
Everything internationally needed in the dental sector is at the service of our patients in Clínica Perio&Implant, a clinic that offers all the dental specialties led by Dr. Carmen Pomares.
			
			
		

                                        
                                        
Dili
Hi my loved one! I want to say that this article is amazing, nice written and come with approximately all important infos. I would like to peer more posts like this .